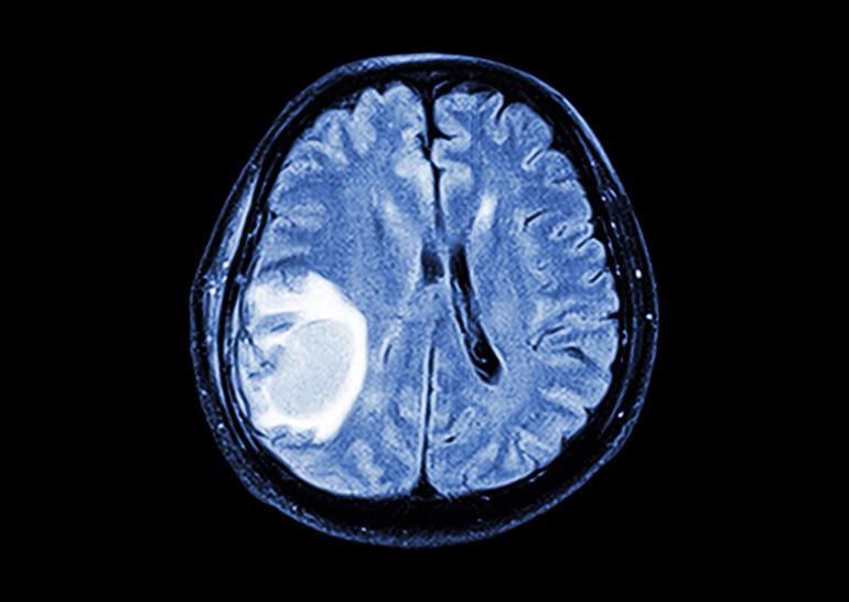
Ученые предложили действенный метод лечения опухолей мозга
Генетики выстроили схему лечения вокруг ключевого элемента – гена Emx2. Последний отвечает за подавление во время эмбрионального развития роста астроцитов – определенного типа клеток, которые имеют звездчатую форму с многочисленными отростками. Такие клетки питают, защищают и в определенной мере регулируют нервные клетки – нейроны. При росте эмбриона последние активно делятся, а после формирования нервной системы начинают делиться и астроциты.
После этого резко снижается активность Emx2. Было выдвинуто предположение, что ген можно использовать в борьбе против глиобластом, так как подобные опухоли похожи на совокупности астроцитов – астроглии. Как показали эксперименты на клеточных культурах, активация Emx2 эффективно предотвращает рост злокачественных клеток.
Читайте также: Деньги делают людей несчастными, – ученые
Позднее ученые провели эксперименты на мышах, причем медикам удалось отыскать участок ДНК, ответственный за активацию Emx2 исключительно в злокачественных клетках. Итог тестов показал, что новая терапия успешно справилась с четырьмя разновидностями глиобластомы. Здоровые клетки при этом остались неповрежденными.
Генетики высказали надежду на то, что их метод поможет предотвращать рецидивы опухолей в тех случаях, когда некоторые клетки оказываются устойчивыми к препаратам и дают начало новой гиперплазии.
Источник: liga.net
Уважаемый посетитель, Вы зашли на сайт как незарегистрированный пользователь. Мы рекомендуем Вам зарегистрироваться либо зайти на сайт под своим именем.


